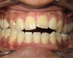
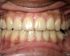
Sakinah had an open bite and cross-bites of her back teeth. After 18 months of orthodontic treatment, she has a beautiful smile and thinks it was the best investment she ever made in improving her dental health and beauty.


Sakinah had an open bite and cross-bites of her back teeth. After 18 months of orthodontic treatment, she has a beautiful smile and thinks it was the best investment she ever made in improving her dental health and beauty.

