Skip to content
Menu
Home
About Us
Why Choose Us
New Patient Offer
Tour the Office
Lawrenceville Orthodontics News
Orthodontics
Dental Braces
Invisalign Teen Braces
Invisalign Braces
Smile Gallery
Financing & Insurance
Contact
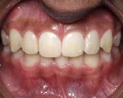
RJ
RJ had one mandibular incisor extracted due to crowding. The active treatment time was 15 months.
Home
About Us
Why Choose Us
New Patient Offer
Tour the Office
Lawrenceville Orthodontics News
Orthodontics
Dental Braces
Invisalign Teen Braces
Invisalign Braces
Smile Gallery
Financing & Insurance
Contact
Close