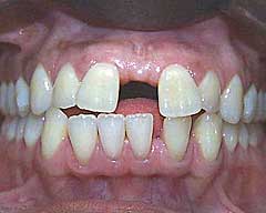
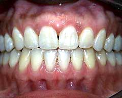
Mrs. D.

Orthodontic treatment alone completely changed this young woman’s appearance. The treatment time was 12 months.

Mrs. D. Mrs. D.
Mrs. D. Mrs. D.