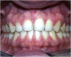
Miss M.

Jennifer was getting married soon and we completed treatment in time for the wedding. Treatment time was 15 months.

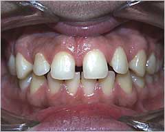
Miss M.
Miss M.