Skip to content
Menu
Home
About Us
Why Choose Us
New Patient Offer
Tour the Office
Lawrenceville Orthodontics News
Orthodontics
Dental Braces
Invisalign Teen Braces
Invisalign Braces
Smile Gallery
Financing & Insurance
Contact
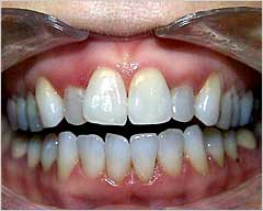
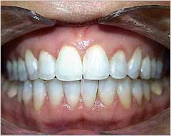
Miss F.
Orthodontic treatment has created for Miss F a glamorous smile.
Home
About Us
Why Choose Us
New Patient Offer
Tour the Office
Lawrenceville Orthodontics News
Orthodontics
Dental Braces
Invisalign Teen Braces
Invisalign Braces
Smile Gallery
Financing & Insurance
Contact
Close