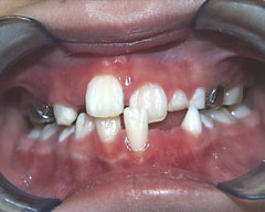
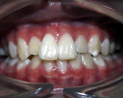
There are many indications for early (Phase I) orthodontic treatment. Among these are anterior cross-bites and eruption sequence problems. Melinda was just 6 years old when she had 9 months of early orthodontic treatment. The second set of photos was taken at age 11, when Melinda began comprehensive (Phase II) orthodontic treatment. Phase II treatment lasted 15 months. One of Melinda’s problems was that she was congenitally missing one lower incisor (the dental midlines do not match up), but when the teeth are straightened it is barely noticeable.
