Leslie

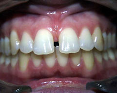
Leslie had only 5 months of Invisalign treatment to close the diastema (space) between the upper front teeth.

Leslie Leslie Leslie Leslie