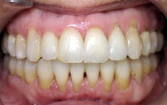
Jeannie A. had an open bite and difficulty in properly chewing. Invisalign orthodontics lasted only six months and resulted in complete bite closure. We also whitened Jeannie’s teeth at the end of treatment.

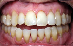
Jeannie A. had an open bite and difficulty in properly chewing. Invisalign orthodontics lasted only six months and resulted in complete bite closure. We also whitened Jeannie’s teeth at the end of treatment.
