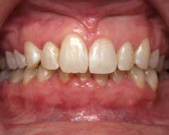
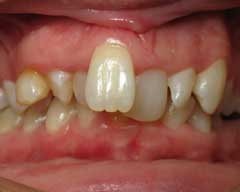
Jeanie, a professional ballet dancer, was embarrassed to smile. She felt the lack of a beautiful smile was ruining her professional and personal life. Jeanie dreamed, since childhood, of having healthy and beautiful teeth. Instead of having an impossibly expensive and invasive full-mouth dental reconstruction, she wisely opted for orthodontics. The treatment time was 24 months and the improvement has been transformational in every way. Jeanie now has the confidence to be the best that she can be.

