
There is no better way to refresh your smile than with custom tooth whitening! Custom trays whiten teeth more effectively and with less tooth and gum sensitivity than whitenings with “over the counter” products. Every Invisalign® treatment includes multiple-application whitening utilizing custom Invisalign trays.
-
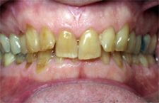
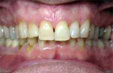
Michael T.
Michael T. had crowded and severely stained teeth. Following 12 months of Invisalign therapy we whitened his teeth (included in every treatment) and the result was a dramatic improvement in alignment and color.



