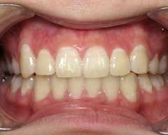
This young lady got her crowded teeth straightened just in time to enjoy her teenage years with a beautiful smile. The treatment time was 18 months and four premolars were extracted.


This young lady got her crowded teeth straightened just in time to enjoy her teenage years with a beautiful smile. The treatment time was 18 months and four premolars were extracted.

